Максимум цифровых инноваций в вашем визиографе: обзор устройств Handy
Содержание
Быстрая и глубокая диагностика определяет эффективность лечения. Однако в условиях конкуренции стоматологических клиник первичное обследование приобрело еще одно важное значение. Оно увеличивает процент оставшихся на лечение пациентов. И здесь ключевую роль играет выбор диагностических аппаратов. Вперед выходят легкие, простые и безопасные портативные устройства.
Если на первичном осмотре доктор делает четкий крупный прицельный снимок 1-2 зубов, не заставляя пациента вставать с кресла, легко выводит его на планшет, быстро и наглядно объясняет суть проблемы, рентабельность клиники повышается по сравнению с применением стационарного оборудования.
Инструменты оперативной рентгенодиагностики должны отвечать современным требованиям безопасности для врача и пациента, быть в бюджете клиники, давать четкие крупные снимки, быть совместимыми с беспроводными устройствами.
Если с портативными рентгенаппаратами все достаточно понятно — есть зарекомендовавшие себя производители, то выбор датчика, передающего снимок на устройство, затруднен. Рынок наводнен аналогичными друг другу устройствами со сходным качеством снимков, но большим разбросом по ценовому диапазону. При этом технологии, использованные в производстве датчика, влияют на все — от цены до скорости получения изображения и качества рентгенограммы.
В этой связи актуальным является предложение китайского производителя Handy, который производит визиографы с оптимальным сочетанием цена - качество снимков.
В новейшей модели — HDR-380 реализованы уникальные технологии, позволяющие получить качество снимков, аналогов которому нет на рынке.
Новинка! HDR-380 — раскрываем преимущества инновационного датчика
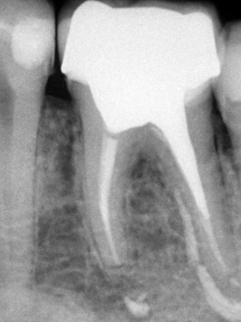
Снимки, сделанные с помощью нового визиографа Handy (см. рис. 3), говорят сами за себя. Рассмотрим слой за слоем, что скрывается под герметичным корпусом датчика и противоударным слоем, чтобы понять преимущества устройства.
Высокочувствительный сцинтиллятор. Его молекулы преобразуют посредством люминесценции рентгеновские лучи в световые фотоны, которые регистрируются следующим слоем датчика.Сцинтилляторы имеют различные типы кристаллов: CsI и GOS (рис.1). GOS имеет структуру, похожую на фосфорную и состоит из гранулированных частиц. CsI имеет игольчатую структуру, благодаря которой фотоны не рассеиваются, а передаются более точно по узким каналам. Именно технология CsI используется в датчиках HANDY и обеспечивает:
- более высокое разрешение;
- более детализированное изображение;
- на 10% ниже рентгеновское излучение по сравнению с GOS;
- соблюдение принципа ALARA (Контроль вероятности облучения на разумно достижимом низком уровне).


Рисунок 1. Сцинтилляторы CsI и GOS
Волоконно-оптическая пластина (FOP). Слой, предназначенный для поглощения рассеянных рентгеновских фотонов. Оптическое устройство состоит из миллионов трубок диаметром в несколько микрометров, уложенных параллельно друг другу, которые направляют световую энергию от сцинтиллятора к следующему слою датчика - детектору. Таким образом, изображение передается с одного конца трубки на другой без искажений.
Некоторые производители не используют оптоволоконные пластины, чтобы снизить себестоимость производства, выставляя тонкость датчика как конкурентное преимущество. По факту это говорит о низком качестве снимков.
Оптоволоконная пластина играет важную роль в защите от непреобразованного рентгеновского излучения (рис.3), которое становится источником шума и ложных данных на готовой рентгенограмме. Поэтому без FOP невозможно гарантировать качество конечной рентгенограммы.

Рисунок 2. Роль оптоволоконной пластины в защите от рассеянных рентгеновских лучей и передаче точного изображения.
Детектор. Этот слой преобразует свет, генерируемый сцинтиллятором, в цифровой сигнал для вывода на монитор компьютера.Существует два типа детекторов — CMOS (комплементарный металл-оксид-полупроводник) and CCD (устройство с зарядовой связью). В датчике HANDY реализована технология CMOS, которая:
- снижает шум на 60%-80%;
- повышает чувствительность на 15-20%;
- ускоряет в 90 раз время преобразования светового сигнала в цифровой.

Рис. 3. Снимки, сделанные с помощью визиографов HDR-500 и HDR-38
Что еще важно?
Размер пикселя
Еще одно важное понятие, влияющее на качество снимков - это “Pixel” (пиксель) — сокращение от “picture element”— элемент изображения. Измеряется в микрометрах (мкм). Обычно размер пикселя для интраоральных датчиков находится в диапазоне между 14мкм и 35мкм.
Уменьшение размера пикселя повышает разрешение, но снижает чувствительность. Увеличение размера пикселя повышает чувствительность, но снижает разрешение.
Для сцинтиллятора CsI 18мкм — оптимальный размер пикселя, который гарантирует идеальный баланс между разрешением и чувствительностью.
Размер датчика
Средняя длина моляра составляет 22мм. Поэтому наиболее частая проблема снимков со стандартным датчиком 20мм — потеря апекса или верхней части зуба при рентгенвизиографии.
Визиограф Handy HDR-380 оснащен уникальным датчиком 1,3 дюйма (33 мм). Это значит, что на снимок попадает весь зуб. Апекс не теряется на снимке, требуется меньше пересъемок, доктор получает больше диагностической информации, а пациент испытывает меньше дискомфорта.
Разрешение изображения
Показатель пространственного разрешения, которое обеспечивает датчик, важен, так как ни одна программа не способна исправить плохую рентгенограмму, полученную с помощью некачественного устройства.
Пространственное разрешение измеряется в парах линий на миллиметр (пл/мм).
Важно, какое разрешение заявляет производитель: теоретическое или фактическое.
Tеоретическим называют максимальное пространственное разрешение в идеальных условиях, основанное исключительно на количестве и размере пикселей датчика. Однако в реальных клинических условиях невозможно избежать некоторого шума, рассеивания фотонов и других негативных факторов. Фактическим или достоверным называют пространственное разрешение, которое определяют измерением пл/мм конечного изображения. Оно зависит от компонентов датчика, включая герметики, противоударные слои, сцинтиллятор и защитный корпус, а также уровень шума детектора.
При покупке датчика всегда уточняйте, является ли указанное в спецификации разрешение пл/мм фактическим или теоретическим. У датчиков HANDY фактическое разрешение является самым высоким — до 14 пл/мм. Это оптимальный показатель относительно возможностей нашего восприятия. Считается, что человеческий глаз способен различать не более 20 оттенков серого или 12 пар линий на миллиметр.
Сравнение визиографов Handy: HDR-500 и HDR-380
|
HDR-500
|
HDR-380
|
|
| Размеры датчика, не менее | 39Х27,5 мм | 41Х29,6 мм |
| Активная зона, не менее | 30Х22,5 мм | 33Х 24 мм |
| Разрешающая способность, фактически, не менее | 12 пар линий/мм | 14 пар линий/мм |
| Усиленный USB разъем в месте подключения к блоку | соответствие | нет блока |
HDR-380
Размеры датчика: 39Х27,5 мм
Активная зона, не менее: 30Х22,5 мм
Разрешающая способность, фактически: 12 пар линий/мм
Усиленный USB разъем в месте подключения к блоку: соответствие
HDR-500
Размеры датчика: 41Х29,6 мм
Активная зона, не менее: 33Х 24 мм
Разрешающая способность, фактически: 14 пар линий/мм
Усиленный USB разъем в месте подключения к блоку: нет блока
Преимущества HDR-380
- Большой размер датчика и активная площадь позволяют увеличить площадь экспозиции, снизить количество пересъемок.
- Широкий динамический диапазон стабилизирует качество съемки при любом освещении.
- Более высокое разрешение обеспечивают максимальную четкость изображения и чувствительность.
- Прочный кабель, протестированный на устойчивость к рывкам, вытягиванию, заломам и т.п.
Таким образом, визиограф HDR-380 сочетает преимущества передовых технологий с оптимальной ценой. Его качество подтверждается длительной гарантией — 3 года. Он обеспечивает быструю качественную визуализацию диагностики пациента. Систему HDR можно интегрировать в большинство ПО визиографов других производителей. Программное обеспечение для визуализации HandyDentist с мощными алгоритмами обработки изображений и логической структурой управления помогает упростить повседневную практику стоматологов.

