Компактный ультразвуковой скалер с подсветкой NEWTRON® P5 BLED

0
Гарантия 2 года
Регистрационное удостоверение
Производитель
Satelec S.A.S
Страна
Франция

Newtron P5 B.LED ультразвуковой подключаемый скейлер c наконечником NEWTRON® SLIM B.LED в комплекте с насадкой и маркером

Технология NEWTRON® — гарантия эффективности и безопасности

  • Отличный контроль колебаний и высококачественные насадки обеспечивают более эффективное сохранение тканей, эффективность и комфорт лечения.
  • Лечение, проводимое в реальном времени с технологией B.LED, позволяющей одновременно выявлять и удалять зубной налет.
  • Самый большой выбор насадок (80) для огромного клинического опыта и универсальности, поддержка как врачей, так и пациентов.
  • Основные характеристики

СОХРАНЕНИЕ ЗУБОВ И МЯГКИХ ТКАНЕЙ

  • Полный контроль за вибрациями для точного и нежного лечения.
  • Специальное качество стали для сохранения анатомических структур и эмали.
  • Полное управление ирригацией вплоть до кончика насадки - повышенная безопасность для тканей.
  • Сохранение зубов и мягких тканей NEWTRON

МАКСИМАЛЬНАЯ ЭФФЕКТИВНОСТЬ

  • Автоматическая и постоянная настройка частоты гарантирует максимальную и непрерывную эффективность, независимо от приложенной нагрузки.
  • Регулирование мощности осуществляется в реальном времени, в соответствии с сопротивлением, встречаемым насадкой, для постоянной эффективности, без необходимости приложения силы.
  • Мощная кавитация на кончике насадки вызывает фрагментирование зубных отложений и дезинфицирующий эффект.
  • Максимальная эффективность NEWTRON

ОПТИМАЛЬНЫЙ КОМФОРТ

  • Линейные и равномерные колебания для безболезненного лечения.
  • Отсутствие нагрева наконечника для улучшенного комфорта для пользователя.
  • Улучшенная тактильная чувствительность обеспечивает более точное лечение.
  • Оптимальный комфорт NEWTRON

УНИКАЛЬНОЕ ПРЕДЛОЖЕНИЕ НАСАДОК

  • NEWTRON® предлагает насадки из уникальных сплавов и с покрытиями, которые соответствуют поверхностям на которых проводится обработка: эмаль, коронка, имплантат.
  • Более 80 различных насадок, отвечающих всем клиническим потребностям: профилактика, пародонтология, уход за имплантатами, эндодонтия, хирургическая эндодонтия, консервативное лечение, ортопедическая стоматология.

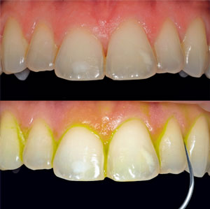
ИНДИКАТОР F.L.A.G.™

  • Индикатор зубного налета F.L.A.G.™ для B.LED одновременно с наконечником NEWTRON® Slim B.LED с освещением синим цветом позволяет одновременно выявлять и удалять зубной налет.
  • Лечение становится более эффективным (удаление на 20% больше налета(1)), без дополнительных затрат времени!
  • (1) T.Marrien, Clinical evaluation of assisted supragingival scaling by plaque disclosing agent F.L.A.G.™ for B.LED, Thesis 2015.

КОНСТРУКЦИЯ СООТВЕТСТВУЕТ ЭРГОНОМИКЕ И ГИГИЕНЕ

  • Плавные линии и подсветка вокруг ручки регулировки мощности, соответствующая системе кодирования цвета Color Coding System™.
  • Тонкий и сбалансированный наконечник.
  • Плоская стеклянная поверхность и отсоединяемая ручка регулировки для быстрой и безопасной очистки.
  • Индивидуально настраиваемые и автоклавируемые держатели наконечников

Технические характеристики

  • Необходимо подключение к воде.
  • С LED подсветкой.
  • Требуемое давление воды: до 5 бар.
  • Частота ультразвука: 28 - 36 кГц.
  • Вес прибора: 1650 г.
  • Размеры: 155 x 185 x 100 мм (Д x Ш x В).
  • Размер наконечника: Дл 110, Диам 18.
  • Вес наконечника: 48 г.
  • Кабель наконечника: 2.04 м.
  • Простая, несъемная ножная педаль (размеры, вес): 70 x 30 x 100 мм (150 г)
КомплектацияСостав
Базовый блок, Newtron SLIM B.LED наконечник (голубое LED кольцо) с подсветкой F12917; NEWTRON® SLIM B.LED сменное белое LED кольцо F12915; Кабель наконечника NEWTRON® SLIM B.LED несъемный X00226 Простая ножная педаль (несъемная) для NEWTRON® BOOSTER F00028; Держатель наконечника силиконовый E60108; F.L.A.G.™ for B.LED маркер мягкого зубного налета 5 x 1.5 мл F62200; Насадка №1 Ключ универсальный
Технические характеристики
Необходимо подключение к воде. С LED подсветкой. Требуемое давление воды: до 5 бар. Частота ультразвука: 28 - 36 кГц. Вес прибора: 1650 г. Размеры: 155 x 185 x 100 мм (Д x Ш x В). Размер наконечника: Дл 110, Диам 18. Вес наконечника: 48 г. Кабель наконечника: 2.04 м. Простая, несъемная ножная педаль (размеры, вес): 70 x 30 x 100 мм (150 г)

Здесь пока нет отзывов, Вы можете стать первым!

Рекомендуем

1 200 000 ₽
AIR-FLOW Prophylaxis Master Аппарат для профессиональной комплексной гигиены полости рта(Electro medical System S.A (EMS )(Швейцария))
Гарантия: 12
Производитель: Electro medical System S.A (EMS )(Швейцария)
5
16 оценок
1 200 000 ₽
285 000 ₽
345 554 ₽
Vector Paro Аппарат ультразвуковой для лечения пародонтита в комплекте/Аппарат, наконечник Paro, принадлежности(Durr Dental AG (Германия))
Гарантия: 24
Производитель: Durr Dental AG
5
7 оценок
285 000 ₽
345 554 ₽
Автономный скейлер DBA PT3
Весна
Новинка
85 000 ₽
104 730 ₽
PT3 Скейлер ультразвуковой стоматологический для снятия зубных отложений, с фиброоптикой, с автономной подачей воды, серия DBA(Guilin Woodpecker Medical Instrument Co.,Ltd.)
Гарантия: 12
Производитель: Guilin Woodpecker Medical Instrument Co.,Ltd.
4.82
11 оценок
85 000 ₽
104 730 ₽
Автономный скейлер с подсветкой DBA U600 LED
Весна
Эксклюзив
38 500 ₽
U600 LED Скейлер ультразвуковой стоматологический для снятия зубных отложений, с подсветкой., с автономной подачей воды, серия DBA(Guilin Woodpecker Medical Instrument Co.,Ltd.)
Гарантия: 12
Производитель: Guilin Woodpecker Medical Instrument Co.,Ltd.
4.8
20 оценок
38 500 ₽
Забыли пароль?
Регистрация
Успешно
Благодарим, ваша форма отправлена!
Успешно
Код отправлен повторно
Вход
Личный кабинет
Отправлен на +7 9608 1678-43-78
Выбрать регион
Остались вопросы?
Подробно расскажем о продукции и услугах, подберем оптимальный вариант и предложим лучшие цены!

Вам понравился товар?

Что вам понравилось?
Подтверждение удаления
Ничего не выбрано
Подтверждение удаления товара
Успешно!
Товар добавлен в избранное.
Успешно
Товар удалён из избранного.
Заявка на рассрочку
Запрос коммерческого предложения