Как выбрать компьютерный томограф с цефалостатом

Иконка 01 июня 2023
Иконка ~ 3 минуты
О преимуществах КТ томографа в клинике мы уже писали. Теперь хотим разобрать критерии выбора томографа с цефалостатом.

Что такое цефалостат и когда он нужен клинике

Цефалостатом называют модуль стоматологического томографа, который выполняет цефалометрическую рентгенографию. Он создает плоскостное изображение (телерентгенограмму) костей черепа со всеми деталями строения и антропометрическими особенностями.

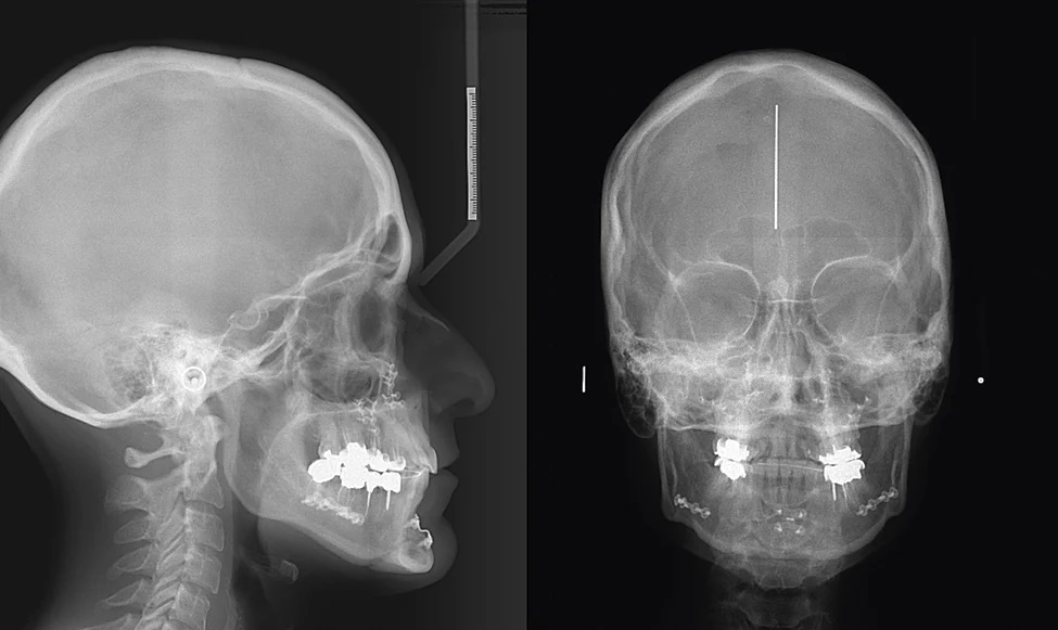
Основные режимы цефалостата — съемка в боковой (латеральной) и прямой (фронтальной) проекции. По снимку в боковой проекции врач определяет угол наклона челюстей, тип прикуса, перспективы роста челюстно-лицевых структур, старые травмы лицевых костей и зубочелюстной системы. Особенно информативны латеральные ТРГ при лечении тяжелых аномалий прикуса. Например, когда ортодонту приходится двигать зубы функциональными аппаратами или несъемными конструкциями сразу в трех плоскостях. В этих случаях в процессе лечения делают несколько ТРГ в боковой проекции, чтобы держать на контроле инклинацию резцов и вовремя корректировать положение ортодонтических конструкций.

Снимки в прямой передне-задней проекции делаются со стороны лица и затылка. Этот вид ТРГ тоже преимущественно ортодонтический: позволяет увидеть анатомические особенности зубных рядов, оценить аномалии окклюзии, тип и степень лицевой асимметрии. В последние годы набирает тренд антивозрастная стоматология и именно фронтальные проекции ТРГ помогают идентифицировать среднюю линию и оценить потенциал лифтинга нижней трети лица за счет коррекции возрастных изменений зубочелюстной системы.tomograf5.jpg

У некоторых цефалостатов, например у комбинированной стоматологической системы GENORAY Papaya 3D Plus предусмотрена съемка в аксиальной проекции. Ее еще называют подбородочной и используют в основном в имплантологии. Она удобна для оценки состояния гайморовых пазух и определения плотности верхнечелюстной костной ткани. 

Перед лечением атрофии верхней челюсти, для диагностики опухолевых процессов в верхнечелюстных пазухах, а также в рамках некоторых частных протоколов имплантации рекомендуется съемка в проекции Уотерса. В этом режиме снимок показывает детализированную картину строения и состояния решетчатой и гайморовой пазух. Актуально для хирургов, имплантологов и отоларингологов, работающих в тандеме со стоматологами.

tomograf3.jpgУ многих цефалостатов опционально предлагается режим съемки кисти. Он выручает, когда ортодонту нужно спрогнозировать рост нижней челюсти, а маленький пациент боится становиться под плечо цефалостата. В таких случаях врачи пользуются методом определения скелетного роста по ТРГ кисти: оценивают степень минерализации костей запястья и определяют соотношение величин эпифиза к диафизу.


Как выбрать КТ с цефалостатом

По комплектации цефалостатом стоматологические томографы делятся на три категории:

  1. С цефалостатом в комплекте,
  2. Без цефалостата и возможности дооснащения,
  3. Без цефалостата, но с возможностью дооснащения модулем Ceph.

Оборудование с цефалостатом в комплекте поставляется с модулем Ceph и набором предустановленных режимов съемки. Если нужен дополнительный, например для съемки кисти, он добавляется к набору при поставке.

tomograf6.jpgЕсли вы выбираете томограф без цефалостата и возможности дооснащения, а через 3-4 года начинаете развивать направление ортодонтии, придется либо покупать новый томограф, либо направлять пациентов в диагностические центры. К сожалению, после направления на КТ некоторые пациенты просто не возвращаются в клинику.

Если сейчас в клинике нет ортодонта, но в ближайшие 2-3 года вы планируете добавлять ортодонтические услуги — выбирайте томограф с модульной архитектурой. У такого оборудования помодульный принцип комплектации, то есть по мере необходимости к КТ можно докупать не только цефалостат, но и модуль с увеличенной зоной сканирования.


Например, для имплантологии понадобится докупить модуль FOV 8×8 или FOV 10×10. 

tomograf2.jpg

Когда клиника вырастет в стоматологический центр с отделением челюстно-лицевой хирургии, потребуется добавить только модуль FOV 10×15. По стоимости это +20-30% к цене модели в базовой комплектации, но в разы дешевле покупки нового томографа.

Концепцию модульной архитектуры поддерживает южнокорейский производитель GENORAY. В линейке томографов Papaya 3D любой томограф можно дооснастить цефалостататом. И через два, и через пять лет работы. Похожая система реализована у производителя Dexis: компания предлагает цефалостат как дополнительную опцию для всех томографов серии OP 3D за исключением модели Vision.


Детали выбора

Важно понимать, какие диагностические задачи будет выполнять цефалостат. Для ортодонтических достаточно латеральной и фронтальной проекции. Для хирургии, имплантологии, отоларингологии, гнатологии понадобится расширенный спектр ТРГ, включая снимки в аксиальной проекции и проекции Уотерса.

С модульными томографами проще постепенно наращивать функциональность оборудования. Однако некоторые производители предлагают рентгеновские панорамные системы с цефалостатом и функцией компьютерного томографа по более доступной стоимости, чем модульные КТ без цефалостата. Тот же Vatech A9 SC поддерживает удобную для имплантологов область сканирования FOV 10x8 и делает ТРГ всего за 1,9 сек. Здесь уже нужно сравнивать возможности устройств по каждой из технических характеристик, шаг за шагом. С этим мы поможем на любом этапе, от планирования открытия клиники до подбора оборудования под расширение перечня услуг.

Позвоните по телефону 8 (800) 700-80-58 или e-mail info@dentex.ru. Или приходите на апробацию в один из демонстрационных залов «Дентекс» в Москве, Санкт-Петербурге, Краснодаре, Казани, Самаре, Екатеринбурге или Красноярске. Оцените производительность и эргономику, выберите комфортное по бюджету и функционалу оборудование для своей практики.

Регистрация
Успешно
Благодарим, ваша форма отправлена!
Успешно
Код отправлен повторно
Личный кабинет

Личный кабинет в процессе разработки

Личный кабинет
Отправлен на +7 9608 1678-43-78
Выбрать регион
Остались вопросы?
Подробно расскажем о продукции и услугах, подберем оптимальный вариант и предложим лучшие цены!

Заказ от 10.08.2024

№699087

Вам понравился заказ?

Что вам понравилось?

Вам понравился товар?

Что вам понравилось?

Подтверждение удаления

Ничего не выбрано

Подтверждение удаления товара

Успешно!
Товар добавлен в избранное.
Успешно
Товар удалён из избранного.
Заявка на рассрочку
Заявка на товар