Обзор стоматологических визиографов: сравнили технические параметры и качество снимков

Иконка 04 июля 2025
Иконка ~ 8 минут
Мы сравнили технические параметры и качество снимков моделей ведущих брендов, чтобы вы могли сделать оптимальный выбор. Визиографы стали неотъемлемой частью современной стоматологии. Вместе с портативными дентальными рентгеновскими аппаратами они дают возможность получить высококачественные изображения с минимальной дозой облучения. При этом пациенту даже не нужно вставать с кресла. Компактные портативные аппараты позволяют врачу делать прицельные снимки прямо в кабинете, что повышает скорость работы клиники и обеспечивает комфорт ее посетителей.

Качество прицельного снимка напрямую зависит от датчика визиографа. Его технологические особенности определяют четкость и глубину снимка, позволяя врачу увидеть как можно больше деталей, поставить точный диагноз и наметить план лечения.

Традиционно на рынке рентгенологии лидировали европейские производители, цена на модели которых начиналась от 200 000 рублей. Зарекомендовали себя и южнокорейские бренды в той же ценовой категории.

Но последние годы их потеснили китайские модели. Привлекательная цена - как минимум в полтора раза ниже — заставляет внимательнее взглянуть на технологические особенности этих визиографов

Основные характеристики визиографов

При выборе визиографа важно учитывать несколько ключевых характеристик:

  1. Разрешение: чем выше разрешение, тем больше деталей можно увидеть на снимках. Это важно для диагностики заболеваний зубов и тканей. На этот параметр влияет размер пикселя, чувствительность датчика и разрешение в парах линий. Обычно размер пикселя для интраоральных датчиков находится в диапазоне между 14мкм и 35мкм. Его уменьшение повышает разрешение, но снижает чувствительность. Увеличение, наоборот, повышает чувствительность, но снижает разрешение.
  2. Размер датчика. Важен для исключения рисков потери части изображения зуба при снимке. Средняя длина моляра составляет 22мм. Таким образом, при размере датчика 1 часто теряется верхняя часть зуба или апекс. Размер 1.3 является более универсальным и обеспечивает оптимальное поле обзора.
  3. Доза облучения: современные визиографы должны обеспечивать минимальную дозу облучения для пациента. Это достигается за счет применения цифровых технологий и оптимизации рентгеновских лучей.
  4. Скорость съемки: время, необходимое для получения снимка, также играет важную роль. Быстрая работа устройства сокращает время ожидания для пациента и повышает эффективность работы стоматолога.
  5. Совместимость с ПО других устройств: возможность интеграции визиографа с другими программными решениями для управления клиникой и хранения данных пациентов обеспечивает порядок в базе данных и эффективное ведение карт пациентов.

Сравнение технических параметров визиографов

Мы сравнили модели визиографов ведущих мировых производителей по ключевым характеристикам и представили в таблице 1.

Ниже приведем краткое резюме по устройству каждого бренда.

Модель

Разрешение

Скорость съемки

Гарантия

HDR-380
HANDY

Размер пикселя: 18 мкм
Фактическое разрешение, пар линий — 14

1-2c

2 года

HDR-500
andy.png

Размер пикселя: 18 мкм
Фактическое разрешение, пар линий — 12

3-4c

3 года

SOPIX 2
acteon.png

Размер пикселя: 20 мкм
Фактическое разрешение, пар линий — 18

от 0,02 до 3,2 с

2 года

Portview GIX-1
genoray.png

Размер пикселя: 20 мкм
Фактическое разрешение, пар линий — 20

1-2с

1 год

EzSensor HD
vatech.png

Размер пикселя: 14,8 мкм
Фактическое разрешение, пар линий — 20-25

1-2с

4 года

Owandy OPTEO
owandy radiology.png

Размер пикселя: 20 мкм
Фактическое разрешение, пар линий — 20

0,1- 0,5с

2 года

ProSensor HD
planmeca.png

Размер пикселя: 15 мкм
Фактическое разрешение, пар линий — 20

до 5 с

3 года

HDR-380
andy.png

Размер пикселя: 18 мкм
Фактическое разрешение, пар линий — 14

Скорость съемки: 1-2c

Гарантия: 2 года

HDR-500
andy.png

Размер пикселя: 18 мкм
Фактическое разрешение, пар линий — 12

Скорость съемки: 3-4c

Гарантия: 3 года

SOPIX 2
acteon.png

Размер пикселя: 20 мкм
Фактическое разрешение, пар линий — 18

Скорость съемки: от 0,02 до 3,2 с

Гарантия: 2 года

Portview GIX-1
genoray.png

Размер пикселя: 20 мкм
Фактическое разрешение, пар линий — 20

Скорость съемки: 1-2с

Гарантия: 1 год

EzSensor HD
vatech.png

Размер пикселя: 14,8 мкм
Фактическое разрешение, пар линий — 20-25

Скорость съемки: 1-2с

Гарантия: 4 года

Owandy OPTEO
owandy radiology.png

Размер пикселя: 20 мкм
Фактическое разрешение, пар линий — 20

Скорость съемки: 0,1- 0,5с

Гарантия: 2 года

ProSensor HD
planmeca.png

Размер пикселя: 15 мкм
Фактическое разрешение, пар линий — 20

Скорость съемки: до 5 с

Гарантия: 3 года

Визиографы от Handy Medical Equipment известны своей надежностью и простотой в использовании. Они отличаются высоким разрешением снимков и безопасностью за счет технологий дополнительной защиты от прямого рентгеновского излучения. Устройства поддерживают различные форматы изображений и легко интегрируются с существующими системами управления.

Acteon предлагает широкий спектр визиографов, включая модели с фактическим разрешением до 18 пар линий на миллиметр. Устройства этой марки отличаются высокой скоростью съемки (до 2 секунд). Кроме того, Acteon разрабатывает собственное программное обеспечение для обработки изображений, что позволяет улучшить качество снимков.

Vatech известен своими инновациями в области цифровой рентгенографии. Визиографы этой марки имеют разрешение до 25 пар линий на миллиметр, что позволяет получать изображения с высоким уровнем детализации. В устройствах также реализованы такие уникальные функции, как автоматическая настройка экспозиции и возможность работы в различных режимах съемки.

Genoray предлагает визиографы с хорошим соотношением цены и качества. Разрешение устройств составляет около 20 пар линий на миллиметр. Модели Genoray отличаются компактными размерами и легкостью в использовании, что делает их популярными среди стоматологов.

PLANMECA OY производит визиографы с высоким разрешением до 20 пар линий на миллиметр и низкой дозой облучения. Устройства этой компании поддерживают различные форматы изображений и интеграцию с другими системами. Также стоит отметить наличие многофункционального программного обеспечения для обработки снимков. Визиографы от Owandy Radiology обеспечивают разрешение до 20 пар линий на миллиметр. Устройства отличаются высокой скоростью съемки и простотой в использовании. Они совместимы с различными программными решениями для управления клиникой.


Сравнение качества снимков визиографов

Качество снимков зависит от множества критериев, приведенных выше. Давайте сравним снимки, полученные с визиографов различных производителей, по основным критериям: четкость, глубина, контрастность, детализация.
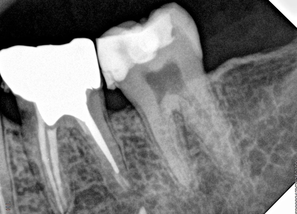
HDR-380 (HANDY)

unnamed.jpg
EzSensor HD (Vatech)

1rbbm0kxy9wewz8mug7fn4zrezg3xp01.jpg
Сравним снимки визиографа HDR-380 от HANDY и EzSensor HD от Vatech. Они практически идентичны, однако при внимательном изучении заметно, что снимок HDR-380 отличается большей резкостью, что облегчает врачу изучение деталей. При этом визиограф HANDY дешевле в 1,5 раза.
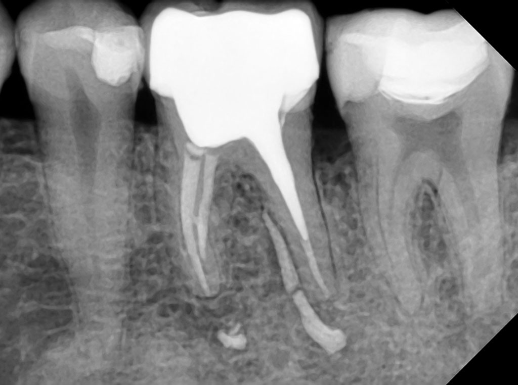
HDR-500 (HANDY)

unnamed (2).jpg
HDR-380 (HANDY)

unnamed (3).jpg

Если сравнивать снимки визиографов HANDY HDR 500 и HDR 380, то заметно, что аппарат последнего поколения — 380-й — значительно выигрывает по глубине снимков и детализации. Такое качество достигнуто благодаря технологии CMOS. Это комплементарный металл-оксид-полупроводник, используемый в детекторе. Он снижает уровень шума при считывании изображения, повышает чувствительность датчика и скорость передачи изображения. Кроме того, CMOS отличается более низким энергопотреблением, по сравнению с аналоговыми технологиями.

Тем не менее качество снимков HDR 500 для диагностических целей врачи признают достаточно высоким, и модель является одной из самых востребованных, благодаря самой низкой цене на рынке.

HDR-380 (HANDY)

afkt9xm1su9xc2f8wqmq2fg16oudeixo-(1).jpg

Portview GIX-1 (Genoray)

unnamed (5).jpg
Если сравнивать в этой же ценовой категории визиографы HDR-380 HANDY и Portview GIX-1 от южнокорейского производителя Genoray, то мы видим практически идентичное качество снимков, при этом HDR-380 выгоднее по цене.
HDR-380 (HANDY)

unnamed (6).jpg
Portview GIX-1 (Genoray)

unnamed (7).jpg
SOPIX 2 (Acteon Group)

unnamed (8).jpg

Мы видим идентичное качество снимков, которое зачастую несколько уступает по четкости, контрастности и глубине моделям последнего поколения азиатских производителей - в частности HANDY.

Таким образом, можно сделать вывод, что китайский производитель Handy Medical Equipment значительно потеснил рынок европейских и южнокорейских производителей визиографов, а аппарат последнего поколения HDR-380 по качеству снимков не уступает более дорогим конкурентным аналогам. При этом HDR-500 того же производителя, сохраняя самую низкую цену на рынке в этой категории, обеспечивает оптимальное качество снимков, приемлемое для большинства стоматологических клиник.

Выбор стоматологического визиографа — важный шаг для любой клиники. При его покупке следует учитывать не только технические параметры устройства, но и потребности клиники, чтобы обеспечить максимальное качество обслуживания пациентов. Воспользуйтесь консультацией наших менеджеров для принятия оптимального решения.

*Не является публичной офертой.

Забыли пароль?
Регистрация
Успешно
Благодарим, ваша форма отправлена!
Успешно
Код отправлен повторно
Вход
Личный кабинет
Отправлен на +7 9608 1678-43-78
Выбрать регион
Остались вопросы?
Подробно расскажем о продукции и услугах, подберем оптимальный вариант и предложим лучшие цены!

Вам понравился товар?

Что вам понравилось?
Подтверждение удаления
Ничего не выбрано
Подтверждение удаления товара
Успешно!
Товар добавлен в избранное.
Успешно
Товар удалён из избранного.
Заявка на рассрочку
Запрос коммерческого предложения